En yaygın taş türlerinden biri, diş taşı veya sertleşmiş diş plağının bir şekli olan tartardır. Ancak bademcik taşı ve safra taşı gibi altı taş türü daha vardır. İşte vücudunuzda sahip olabileceğiniz tüm olası 'taşların' listesi!

Taşlar
Bu koşulların büyük bir kısmı, sağlıklı bir yaşam tarzına sahip olmak ve diyetinizde yeterli çeşitliliğe sahip olmakla önlenebilir. Vücudunuzdaki bazı taşların zor yanı, sağlık sorunlarının genellikle küçük başlamasıdır, bu da her zaman neler olup bittiğini anlamadığınız anlamına gelir. Tedavi edilmediği takdirde, bu sorunlar sağlığınız için ciddi sonuçlar doğurabilir. Bu yedi farklı taş türünü erkenden tanımak önemlidir.

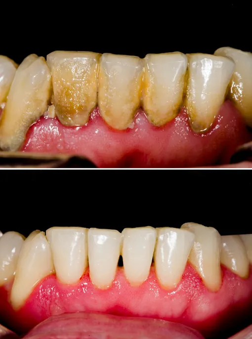
TARTAR (DİŞ PLAĞI)
Bunu zaten belirtmiştik. Bu sertleşmiş ve rengi bozulmuş diş plağı, tedavi edilmezse çok rahatsız edici hale gelebilir. Diş taşı genellikle yemek artıkları, tükürük ve ağzınızda bulunan bakterilerden kaynaklanır.
Diş plağı günlük olarak alınmadığında kireçlenmeye başlayabilir ve diş taşına dönüşebilir. Bir diş hekimi diş taşlarını dişlerinizden çok kolay bir şekilde çıkarabilir. Dişçi ziyaretini erteliyor musunuz? O zaman diş taşınız iltihaplı diş etlerine ve çürüklere yol açabilir.

BÖBREK TAŞI
Böbreklerimiz, kanımızdan atıkları uzaklaştıran ve bunu idrar şeklinde mesaneye yönlendiren bir tür filtre görevi görür. Bu atık birikmeye başlarsa kristalleşmeye başlayabilir ve bu şekilde böbrek taşları oluşur. Bilmeden, herhangi bir semptom yaşamaya başlamadan önce yıllarca böbrek taşı ile dolaşıyor olabilirsiniz.

Böbrek taşı kendini yerinden oynatır ve üretrayı tıkarsa ağrılı kramplar yaşayabilirsiniz. Böbrek taşlarının diğer belirtileri mide bulantısı, kan kaybı ve kötü kokulu idrardır. Çoğu durumda, çok su içmek, sonunda böbrek taşını idrarla atmanızı sağlar. Ancak bazı durumlarda bu işe yaramaz ve doktorunuzla iletişime geçmeniz daha iyi olur.

MESANE TAŞLARI
Mesanelerinde yara dokusu veya başka düzensizlikler olan kişilerde mesane taşları görülebilir. Mesane taşları, tuvalete gittikten sonra idrarın mesanede kalmasıyla ortaya çıkar. Ayrıca mesaneye taşınmış bir böbrek taşı da olabilir
Mesane taşlarının ana semptomu, idrar yaparken ağrılı ve yanma hissidir. Bu taşların çıkarılması önemlidir çünkü aksi takdirde enfeksiyonlara veya başka komplikasyonlara yol açabilirler. Hastanedeki bir ürolog, taşı üretra yoluyla çıkarabilir. Karın ameliyatı ile daha büyük taşların çıkarılması gerekebilir.

BADEMCiK TAŞLARI
Hala bademciklerin var mı? O zaman bir noktada bademcik taşlarından muzdarip olabilirsiniz. Bu taşlar, bademciklerin kuytu ve çatlaklarında geride bırakılabilen bakteri, ölü hücreler ve yiyecek artıklarından gelişir.

Bu taşlar nedeniyle yoğun bir sağlık sorunu yaşamayacaksınız, ancak yemek yerken veya yutkunduğunuzda ağız kokusu veya ağrılı bir his yaşayabilirsiniz. Dişlerinizi düzenli olarak fırçalayarak ve/veya ağzınızı çalkalayarak veya tuzlu su ile gargara yaparak semptomları hafifletebilirsiniz. Sağlık uzmanına danışarak bu taşların çıkarılmasını sağlayabilirsiniz.

SAFRA TAŞLARI
Safra, sindirim sistemimizdeki atıkların ve yağların sindirilmesine yardımcı olan bir sıvıdır. Bu sıvı bir araya toplanmaya başladığında safra taşlarına dönüşebilir. Taşlar safra kesesinin açıklıklarını veya kanallarını tıkamaya başlayana kadar herhangi bir semptom yaşamayacaksınız. Belirtileri belirlemek genellikle zordur.

Yemekten sonra ağrılı bir his ve mide bulantısı/şişkinlik hissedebilirsiniz. Şiddetli ağrı yaşıyorsanız, bir doktora gitmeniz doğru olacaktır. Tedavi edilmeyen safra taşları, diğer şeylerin yanı sıra sarılık veya pankreatite yol açabilir. Fazla kilolu kişilerde safra taşı olma riski, sağlıklı kilolu kişilere göre üç ila dört kat daha fazladır. Kısa sürede çok kilo veren kişilerde safra taşı olma riski daha yüksektir.

TÜKÜRÜK TAŞLARI
Tükürüğünüz üç farklı bez tarafından oluşturulur. Küçük tüpler aracılığıyla bu bezlerden salgılanır ve bu tüpler tıkandığında tükürük taşları ortaya çıkarır. Çoğu durumda, bu tükürük taşları kalsiyumdan oluşur. Taşlar, kulakta ve alt çenede ağrı oluşturur. Bu tip bir ağrı yaşıyorsanız, kulak burun boğaz uzmanına danışarak bu taşların çok kısa bir sürede aldırabilir ve sağlıklı bir biçimde yaşamınıza devam edebilirsiniz.

BEZOAR TAŞLARI
Bezoar, gastrointestinal sistemde ortaya çıkan bir taş türüdür. Çoğu zaman kıllar, bitki kalıntıları, süt tozu/bebek maması ve yutulan küçük taşlar gibi sindirimi güç maddelerin bir sonucudur. Bezoar genellikle oldukça küçüktür, bu nedenle muhtemelen ciddi sağlık sorunları yaşamayacaksınız.
Yine de büyük bir bezoar yaşamı tehdit edebilir. Midenizde yüksek bir yanma hissi, mide bulantısı, yutma sorunları ve tokluk hissi ile büyük bir bezoarı fark edebilirsiniz.